本文へ

当サイトでは、利用測定やトラフィック分析を目的として、クッキー(Cookie)を利用しています。
「同意する」ボタンや本サイトをクリックすることで、クッキーの利用に同意いただいたことになります。
詳しくはプライバシーポリシー別ウィンドウで開くをご覧ください。

同意する

ATLAS Asia Clinical Trials Network for Cancers Project
menu
  1. ホーム
  2. 国際診療
  3. NCC Today-Blog
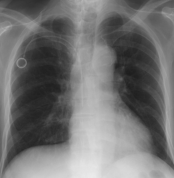
  4. がん治療を支える中心静脈ポート:確実でやさしいIVR治療

がん治療を支える中心静脈ポート:確実でやさしいIVR治療

曽根 美雪

がん治療に欠かせない中心静脈ポート(CVポート)は、抗がん剤投与や点滴、採血をより安全かつ快適に行うための留置型デバイスです。当院では年間約900例のポート留置を行っており、すべて画像ガイド下で1530分ほどで実施しています。血管を正確に捉えることで合併症が少なく、患者さんの負担も軽減されます。点滴のたびに血管を探す必要がなくなり、治療の継続がよりスムーズになります。

 

PAGE TOP